티스토리 뷰
목차

척추측만증이란 무엇일까요?
척추측만증은 척추가 옆으로 비정상적으로 휘어진 상태를 말합니다. 정상적인 척추는 S자 형태로 약간 휘어져 있지만, 측만증 환자의 경우 척추가 C 또는 S자 형태로 심하게 휘어져 있습니다.
척추측만증은 누구에게나 나타날 수 있지만, 특히 10세에서 16세 사이의 소녀에게 흔히 발생합니다. 측만증의 정확한 원인은 아직 밝혀지지 않았지만, 유전적 요인과 호르몬 불균형이 관련 있다는 추측이 있습니다.
척추가 옆으로 굽은 각도가 10도 이상 되면 진단한다
척추측만증 관련영상
척추측만증의 유형
척추측만증은 크게 다음과 같은 유형으로 분류됩니다.
- 특발성 측만증: 가장 흔한 유형으로, 명확한 원인 없이 발생합니다.
- 신경근 병증성 측만증: 뇌졸중, 근육 마비, 척수 선천적 결함 등 신경근 질환으로 인해 발생합니다.
- 연합성 측만증: 골격 이상, 근육 질환, 결합 조직 질환 등 다른 질환으로 인해 발생합니다.
- 무증상성 측만증: 증상이 거의 없거나 전혀 없는 경미한 측만증입니다.

척추측만증의 증상
척추측만증의 증상은 다음과 같습니다:
- 어깨 또는 엉덩이의 높이 차이
- 한쪽 견갑골이 다른 쪽보다 더 튀어나온 것처럼 보임
- 등이나 허리의 한쪽이 다른 쪽보다 더 튀어나옴
- 앉거나 서있을 때 몸이 비틀어진 것처럼 느껴짐
- 피로
- 등 통증
- 호흡곤란 (심한 경우)
척추측만증의 진단
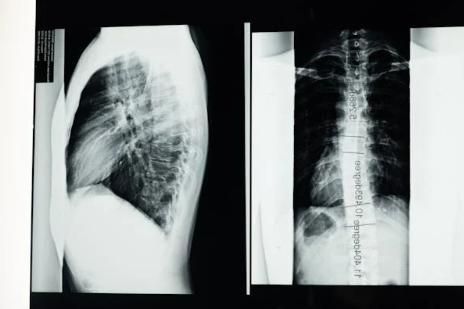
척추측만증은 신체 검사, 엑스레이, MRI 검사를 통해 진단됩니다.
- 신체 검사: 의사는 척추의 곡률을 확인하고 어깨 및 엉덩이의 높이를 측정합니다.
- 엑스레이: 엑스레이는 척추의 측만증 정도를 정확하게 보여줍니다.
- MRI 검사: MRI 검사는 척추의 뼈와 신경을 더 자세히 볼 수 있도록 합니다.
척추측만증의 치료
척추측만증의 치료는 측만증의 정도와 환자의 나이에 따라 다릅니다.
- 경미한 측만증: 경미한 측만증의 경우, 정기적인 검사를 통해 측만증의 악화를 관찰합니다.
- 보조기 치료: 보조기를 착용하면 척추의 곡률을 더 악화되는 것을 막을 수 있습니다. 특히 성장기 청소년에게 효과적입니다.
- 운동치료: 특정 운동을 통해 척추 근육을 강화하고 측만증의 악화를 막거나 개선하는 데 도움이 될 수 있습니다.
- 수술 치료: 심한 측만증의 경우, 수술을 통해 척추를 곧게 만드는 치료가 필요할 수 있습니다. 10도 이상 측만증 각도를 가진 청소년에게 적용됩니다.

척추측만증의 합병증
심한 측만증은 다음과 같은 합병증을 일으킬 수 있습니다
- 호흡곤란: 척추의 곡률이 심해지면 폐를 압박하여 호흡곤란을 유발할 수 있습니다.
- 심장 문제: 심장을 압박하여 심장 기능 저하를 유발할 수 있습니다.
- 통증: 만성적인 등 통증을 유발할 수 있습니다.
- 불임: 여성의 경우 심한 측만증이 임신과 출산에 어려움을 줄 수 있습니다.
- 외모 변형: 척추의 곡률로 인해 심각한 외모 변형이 발생할 수 있습니다 척추측만증의 예방 및 관리
예방
현재 척추측만증을 완전히 예방하는 방법은 알려져 있지 않습니다. 하지만 다음과 같은 방법을 통해 측만증의 발병 위험을 줄일 수 있습니다
- 정기적인 검진: 특히 10세에서 16세 사이의 소녀는 척추측만증의 발병 위험이 높으므로 정기적인 검진을 받는 것이 중요합니다.
- 자세 교정: 올바른 자세를 유지하는 것은 척추측만증의 예방에 도움이 될 수 있습니다.
- 운동: 규칙적인 운동은 척추 건강을 유지하고 측만증의 발병 위험을 줄이는 데 도움이 될 수 있습니다.
관리
척추측만증 진단을 받은 경우, 다음과 같은 방법으로 측만증을 관리해야 합니다
- 정기적인 검진: 의사의 지시에 따라 정기적인 검진을 받고 측만증의 악화 여부를 확인해야 합니다.
- 치료 준수: 처방된 치료법, 예를 들어 보조기 착용이나 운동 치료를 꾸준히 해야 합니다.
- 통증 관리: 측만증으로 인한 통증이 있는 경우, 의사와 상담하여 적절한 통증 관리 방법을 찾아야 합니다.
- 심리적 지원: 측만증은 심리적으로 큰 부담을 줄 수 있습니다. 필요하다면 심리 상담을 받는 것이 도움이 될 수 있습니다.
반응형
'재미있는 모든것을 모아' 카테고리의 다른 글
| 임영웅 신곡 '온기' 발표 (162) | 2024.05.07 |
|---|---|
| 뇌졸중에 대해서 두려워하지 말고 미리 예방하자 (157) | 2024.05.06 |
| 어린이날 연휴 전국적으로 폭우 예상 (129) | 2024.05.04 |
| GMO란 무엇인가? 우리는 이미 두부, 고기를 통해서 먹고 있습니다. (140) | 2024.05.03 |
| 종합소득세 5월 31일까지 직접 납부하기 (147) | 2024.05.02 |